מקרה נוסף של ניתוח להארכת גפיים שבוצע בטורקיה והסתבך: עומר (שם בדוי), צעיר בשנות ה-20 לחייו אושפז לאחרונה במרכז הרפואי מאיר מקבוצת כללית, כשהוא סובל ממחסור חמור בעצם באזור הניתוח וקושי בהליכה. כך נודע ל-ynet. בשבוע שעבר עבר ניתוח תיקון ראשון, והרופאים צופים שלאחר שיקום ארוך ישוב לתפקד באופן מלא. במקרה אחר שעליו דיווחנו באחרונה, צעיר בשנות ה-20 לחייו מצפון הארץ חזר מניתוח להארכת גפיים שבוצע בטורקיה, עם סיבוכים קשים בעצמות הירכיים. הוא שוחרר מאשפוז אך עלול להישאר נכה לכל חייו.
ישראלי נוסף עבר ניתוח להארכת גפיים - ונותר צולע
(עריכה: בן שפייר)
2 צפייה בגלריה


"הייתה לי בעיה בטווחי התנועה, לא הצלחתי ליישר את הרגליים לגמרי". ניתוח הארכת הגפיים הסתבך. אילוסטרציה
(צילום: Shutterstock)
עומר, שגובהו לפני ההליך היה 1.52, תמיד חלם להיות גבוה יותר. "הגובה זה משהו שהפריע לי על הזמן. התלבטתי במשך שנה עד שקיבלתי אומץ לעבור את הניתוח, זו לא החלטה קלה", סיפר ל-ynet. את הניתוח בחר לעבור בטורקיה. "קראתי, בדקתי באינטרנט, ראיתי שיש חברה שעושה את זה ושיש להם מרכז ייעודי, מקום שנראה מסודר. ראיתי עבודות שהם עשו, סרטונים, ראיתי שיש גם כמה ישראלים שעשו שם את הניתוח, אז התרשמתי", הסביר.
הוא מדגיש שהבחירה לטוס לטורקיה, לא נבעה משיקולים כלכליים. "זה לא יצא לי יותר מדי זול, שילמתי 150 אלף שקל, ולא הכרתי בארץ אפשרות כזו דרך הקופה או ביטוחים כאלה ואחרים", הוא אומר.
עומר: "הגובה זה משהו שהפריע לי על הזמן. התלבטתי במשך שנה עד שקיבלתי אומץ לעבור את הניתוח, זו לא החלטה קלה. קראתי, בדקתי באינטרנט, ראיתי שיש חברה בטורקיה שעושה את זה ושיש להם מרכז ייעודי, מקום שנראה מסודר. ראיתי עבודות שהם עשו, סרטונים, ראיתי שיש גם כמה ישראלים שעשו שם את הניתוח, אז התרשמתי"
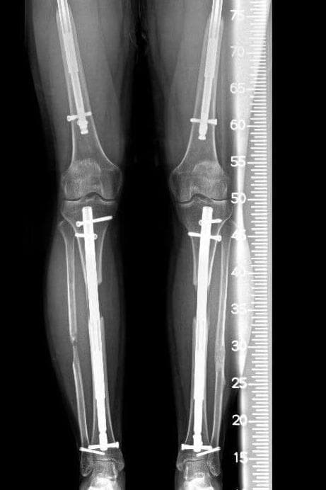
לפני כשנה וחצי עבר עומר את הניתוח, שכלל הארכה כפולה בו זמנית של כל ארבע עצמות הרגליים - שתי עצמות השוק ושתי עצמות הירך. "פחדתי מאוד לפני הניתוח, אתה יודע שאתה עושה משהו לשנות את החיים ותקופה מסוימת הולך לכאוב לך", הוא אומר. עומר אושפז לאחר הניתוח במרכז שיקום בטורקיה, שם עבר טיפולי פיזיותרפיה מדי יום. הוא היה אמור להישאר שם שלושה חודשים, אך לבסוף, בשל המצב הביטחוני והמלחמה, שב לישראל לאחר כחודש בלבד. "לא רציתי להישאר שם יותר", סיפר.
העצם לא התחדשה
ניתוח להארכת גפיים הוא הליך כירורגי שמתבצע בכמה שלבים, כאשר תחילה שוברים בצורה מבוקרת את העצם שמעוניינים להאריך, למשל עצם הירך או השוק. לאחר מכן, מתקינים מערכת שמאפשרת הפרדה הדרגתית בין חלקי העצם. המערכת יכולה להיות חיצונית, באמצעות טבעות ומסמרים שחודרים את העור ומתחברים לעצם, או פנימית, באמצעות שיטה מודרנית יותר, הכוללת החדרת מסמר טלסקופי לתוך העצם.
במהלך השבועות שלאחר הניתוח, המערכת "נפתחת" בהדרגה, בקצב של מילימטר בכל יום וכך למעשה נוצר מרווח שבו הגוף מייצר עצם חדשה, יחד עם הארכת השרירים, כלי הדם והעור. לאחר שמגיעים לגובה הרצוי, המערכת נותרת במקומה עד שהעצם החדשה מתחזקת, ואז מוסרת.
בשנים האחרונות הפך ההליך, שהיה מיועד בעבר בעיקר עבור מי שסובלים מתסמונות גנטיות או הבדלים משמעותיים באורך הרגליים, לפופולרי יותר ויותר בקרב צעירים מסיבות אסתטיות, כדי להוסיף לגובהם עוד כמה ס"מ.
כששב לישראל החל עומר לסבול מכאבים ומוגבלות בתנועה. "הייתה לי בעיה בטווחי התנועה, לא הצלחתי ליישר את הרגליים לגמרי", הוא מספר. תחילה ביצע תרגילי פיזיותרפיה בבית, תוך ששמר על קשר עם המנתח שלו מטורקיה. "הוא אמר שזה בסדר, שאני יכול להמשיך להאריך את הגפיים עם המסמר", מספר עומר. ואולם, לאחר תקופה, וכשהמצב לא השתפר הופנה לטיפול שיקומי אינטנסיבי בבית לוינשטיין. הטיפול במקום אמנם שיפר את מצבו, אך גם לאחר מכן סבל מצליעה, ונאלץ להסתייע בהליכה עם קביים, אז התברר כי הוא סובל ממחסור בעצם, שלא התחדשה באזור החסר. "אמרתי לעצמי שעם הזמן זה יסתדר, וזה גם מה שחשבו כמה רופאים פה בארץ", מסביר עומר. "חיכינו חודש, חודשיים, אבל גם אחרי חצי שנה ראו בצילום שלא קורה כלום". בשלב זה הופנה עומר לד"ר איל יעקבי.
ד"ר איל יעקביצילום: דוברות מרכז רפואי מאירד"ר יעקבי, מומחה בכירורגיה אורתופדית, סגן מנהל המערך האורתופדי במרכז הרפואי מאיר, מסביר כי "המנתחים בטורקיה אמנם השתמשו בטכנולוגיה עכשווית עם קיבוע פנימי, כזו שאנחנו משתמשים גם בארץ, אבל ביצעו הארכה בו-זמנית של כל ארבע עצמות הרגליים, דבר שכלל אינו מומלץ". לדבריו, בספרות הרפואית מתוארים מקרים בודדים של הארכה בו זמנית של ארבע עצמות הרגליים שהצליחה. "זה מעמיס יותר מדי על הגוף והעצמות, וגורם למתח ברקמות, ויש הרבה מאוד דיווחים על כישלון התהליך שמתבצע באופן הזה".
ד"ר איל יעקבי: "המנתחים בטורקיה אמנם השתמשו בטכנולוגיה עכשווית עם קיבוע פנימי, כזו שאנחנו משתמשים גם בארץ, אבל ביצעו הארכה בו זמנית של כל ארבע עצמות הרגליים, דבר שכלל אינו מומלץ. זה מעמיס יותר מדי על הגוף והעצמות, וגורם למתח ברקמות, ויש הרבה מאוד דיווחים על כישלון התהליך שמתבצע באופן הזה"
ד"ר יעקבי מוסיף כי סיכון מרכזי בניתוח הארכת גפיים, שגדל משמעותית כשמבצעים הליך בו זמנית בארבע עצמות הרגליים, הוא התכווצות של הרקמות הרכות (Contracture). "בזמן שהעצם מתארכת, הרקמות הרכות (שרירים, גידים, עור) נמתחות, ואם הן לא גמישות מספיק או שלא נעשה טיפול פיזיותרפיה רציף, הן עלולות להתכווץ ולהוביל להגבלת התנועה", הוא מסביר, "במקרה של עומר הוא סבל בעקבות כך מקושי ליישר את הברך עד הסוף, וגם מוגבלות בטווח התנועה של הקרסול".
כאמור, מלבד המוגבלות המשמעותית בתנועה, העצמות ברגליו של עומר לא התחדשו באזורי הניתוח כפי שהן אמורות להתחדש, כלומר נוצר חוסר משמעותי בעצם באותם אזורים. "זה אחד הסיבוכים העיקריים כשתהליך ההארכה מבוצע בקצב מהיר מדי ולא נכון, ובו זמנית בארבעה אזורים", מסביר ד"ר יעקבי.
לפני כשלושה חודשים אושפז עומר במרכז הרפואי מאיר. "הסברתי לו שזה לא מקרה סטנדרטי", אומר ד"ר יעקבי. לאחר התייעצות גם עם פורום רופאים בינלאומי, הוחלט לבצע הליך שנקרא "הובלת עצם" (Bone transport). "היו לנו שתי אופציות. האחת פשוט להנמיך את עומר, להחזיר אותו לגובה המקורי, לתת לעצמות להתחבר, ואז לבחור האם להתחיל את התהליך מחדש. האופציה השנייה הייתה לשמור על הגובה אליו הגיע, 1.64, ובצורה מאוד הדרגתית ומבוקרת לטפל במחסור בעצם, על ידי 'הסעה' של עצם בריאה להשלמת המחסור, והלכנו על זה". הובלת עצם היא טכניקה כירורגית המשמשת לשחזור פגמים גדולים בעצם, שנגרמים בדרך כלל מטראומה, למשל פצועי מלחמה ותאונות דרכים, אך גם בעקבות זיהום או הסרת גידול באותו אזור.
עומר עדיין זקוק לקביים ולהליכון
את הניתוח הראשון לתיקון עבר עומר בשבוע שעבר, תחילה באזור הירכיים. ד"ר יעקבי מסביר כי "במהלך הניתוח הוצאנו את המסמר הקיים ברגל, זה שבאמצעותו האריכו את הגפה, ושמנו מסמר מסוג אחר שיודע 'להסיע' מקטע עצם ממקום בריא אל האזור שבו חסרה עצם, וכך באזור שממנו מבוצעת ההסעה, נוצרת עצם חדשה". הוא מציין עוד כי "ההסעה" של העצם למקום החסר מבוצעת על ידי מכשיר חיצוני.
"יש תיאוריה שלפיה כשאתה מטפל בצמיחת עצם באזור אחד, זה עשוי להשפיע על יתר האזורים, אז אני מקווה שאולי עומר לא יזדקק לניתוח נוסף גם בשוקיים. זו תקווה גדולה, אבל משהו שנצטרך לבחון תוך כדי תנועה", מוסיף ד"ר יעקבי. לדבריו, בשלב זה עומר זקוק לקביים והליכון, והליכתו מוגבלת רק לצרכים בסיסיים, אך הוא אופטימי כי עומר ישוב ללכת ולתפקד באופן מלא.

בימים הקרובים צפוי עומר להשתחרר לביתו. "הוא יגיע לביקורות כל שבוע, ואנחנו צופים שבאיזשהו שלב יצטרך לחזור לשיקום בבית לוינשטיין", אומר ד"ר יעקבי. הוא מסכם בכך שמי שניגשים להליך מסיבה אסתטית, צריכים לבחור במקום מבוקר עם ניסיון. "אין שום בעיה שאדם רוצה לעשות את ההליך מסיבות אסתטיות. הרבה אנשים עוברים טיפולים קוסמטיים, אבל צריך שזה ייעשה בצורה נכונה ולהבין את התהליך. חשוב שמי שמעוניינים בניתוח יעברו גם תהליך בדיקה, לוודא שזו החלטה מושכלת מבחינה פסיכולוגית, שהגובה שלהם אכן נמוך משמעותית מהממוצע ומשפיע עליהם בחיים, בתפקוד, ובביטחון העצמי". הוא מציין כי יש לזכור שמדובר בתהליך ארוך, שמצריך ליווי רפואי רציף, ושיקום אינטנסיבי. "זה תהליך של חצי שנה שיקום, אם לא יותר. חשוב להבין למה נכנסים, ולעבור את הניתוח במרכז מפוקח, שיודע מה הוא עושה, על ידי מנתח שיש לו ניסיון".
"אני לא מתחרט על הניתוח אבל מאוד מתבאס שזה נתקע ולא הצליח", מסכם עומר. "אני כן מתחרט שעשיתי במקביל גם בשוקיים וגם בירכיים, בגלל העומס על הגוף". הוא מוסיף: "עדיף לעשות בארץ חתת פיקוח, לא למהר. אתה רוצה לסיים כמה שיותר מהר ולהשיג כמה שיותר, אבל העצה שלי היא סבלנות - לעשות את זה לאט ובטוח".
קראו עוד על ההליך:
פורסם לראשונה: 00:00, 12.08.25









